6 年
手机商铺
公司新闻/正文
418 人阅读发布时间:2024-02-19 14:24
尽管免疫疗法的分子靶标库不断扩大,但目前对于肺腺癌的免疫治疗仍面临巨大挑战。癌症中最常见的突变之一是KRAS突变。多年来,这些突变一直没有有效的靶向药物。然而,最近开发出的专门针对Ras变异(尤其是常见的KRAS-G12D异构体突变)的化学抑制剂成为肿瘤治疗学上的一个重大突破。KRAS突变靶向药物的一个吸引人之处在于它们能够提醒免疫系统并增强其攻击癌细胞的能力。然而,人们对KRas-G12D抑制剂在组织水平发生的细胞自主和非细胞自主效应的分子机制知之甚少。此外,KRas-G12D抑制剂在肺癌模型中的有效性也仍然未知。
为了填补这些知识空白,来自帕多瓦大学的研究团队利用CosMx单细胞空间原位分子成像技术,关注于研究和阐释在KRas-G12D抑制剂消灭肿瘤的过程中,机体对此的响应和肿瘤消退机制,尤其是在组织细胞层面肿瘤细胞与周围组织微环境中不同细胞产生的空间相互作用。
研究摘要
研究人员对12周大的KrasFSF-G12/D/+、p53frt/frt小鼠实施了腺病毒颗粒的气管内灌注,这是一种针对肺上皮细胞编码Flp重组酶的成熟工具。突变 KrasG12D的表达激活和p53的KO触发了AT2细胞在 2-3周内形成多灶腺瘤,并在2个月内形成 LuADs。
诱发小鼠肺腺癌(LUAD)
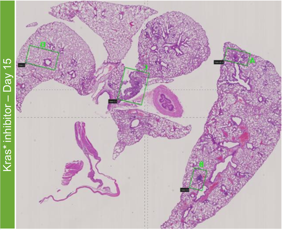
从AdFlp注入两个月后开始,小鼠每天注射Kras突变体的分子抑制剂。对照组小鼠(n=6)在第0天实施安乐,治疗组小鼠(n=5)在治疗9天或15天后实施安乐。使用2张4微米厚的连续组织切片分别进行H&E染色和CosMx检测。
药物治疗和组织处理



在接受Kras抑制剂治疗之前,小鼠表现出LuAD和肺腺瘤。在使用Kras抑制剂进行药物治疗期间,病变的大小和组织学级别会逐渐降低。
研究方法
研究人员采用了CosMx小鼠1000重RNA单细胞空间转录组方案。该检测Panel覆盖广泛的生物学通路,包含免疫学、信号转导和肿瘤发展过程中细胞响应刺激相关的关键标记基因。
CosMx™ SMI工作流程
主要结果
CosMx采用了细胞分割算法,结合了组织形态学染色来提高细胞分割精度
细胞边界界定效果

在界定的单细胞内检测到的转录本
检测到的转录本的空间分布


数据分析发现,之前由单细胞测序数据鉴定出的细胞类型均可以被CosMx数据分析鉴定出来。但与单细胞测序相比,CosMx带来的单细胞空间转录组分析能更深入地了解真实生物学背景下的分子生物学过程。
CosMx数据能够支持对细胞状态进行深入表征和功能分析,甚至可以超越标准的单细胞测序分析,尤其是针对特定细胞社群中的稀有细胞类型。比如,利用单细胞测序发现了两种不同的LUAD细胞类型(Type1 和 Type2),它们分别具有独特的表达特征。研究人员成功地从CosMx数据中发现了这些表达特征,并能够将其映射到组织切片上。与标准单细胞测序方法相比,CosMx数据为细胞类型和细胞状态增加了一层新的组织空间信息。其中值得注意的是,2型LUAD细胞主要出现在肿瘤组织的边缘,面向基质区;相反,1型LUAD细胞出现在肿瘤肿块内部,被2型LUAD细胞包围,或者突出在气道内部,被气道上皮细胞包围。
单细胞空间转录组数据可以像单细胞测序一样鉴定出不同的细胞类型,并能够进一步将这些细胞映射回组织,展示出组织学结构或细胞社群等空间表型。这为研究不同空间分布的不同细胞的功能特征铺平了道路。针对该项研究,研究人员的下一步分析主要是了解三种类型的肿瘤细胞是如何相互影响以及如何与TME细胞相互作用。为此,研究人员一方面通过CosMx小鼠1000重RNA单细胞空间转录组方案中所包含的大量配体-受体基因,得到了不同细胞的配-受体表达信息和空间共定位信息,绘制了细胞-细胞相互作用的空间图谱。另一方面,利用全面的RNA靶标表达信息,研究人员还致力于在组织空间背景下分析了解抑制致癌KRAS活性对肺部肿瘤的影响,包括Ras控制的细胞自主效应和非细胞自主效应。