一、文章背景
该研究于 2025 年发表在国际知名期刊《Gut》(doi: 10.1136/gutjnl-2025-335291),由华中科技大学同济医学院附属同济医院肝脏外科中心、湖北省肝胆胰疾病重点实验室及器官移植教育部重点实验室等单位联合完成,研究题目为 “Targeting Aurora kinase B regulates cholesterol metabolism and enhances chemo-immunotherapy in cholangiocarcinoma”(靶向 Aurora 激酶 B 调控胆固醇代谢并增强胆管癌化疗免疫治疗效果)。该期刊在胃肠病学与肝脏病学领域具有极高影响力,研究成果为胆管癌的靶向治疗及联合治疗策略提供了重要理论依据与实验支撑。

二、摘要解读
胆管癌(CCA)是致死率高且发病率持续上升的恶性肿瘤,现有治疗手段疗效有限,亟需发掘新型治疗靶点。本研究通过 sgRNA 文库筛选鉴定出 Aurora 激酶 B(AURKB)为胆管癌关键治疗靶点,结合多组学测序、临床样本验证及临床前模型实验,阐明了 AURKB 通过催化组蛋白 H3 赖氨酸 9 三甲基化(H3K9me3)/ 丝氨酸 10 磷酸化(H3S10ph)修饰,降低 H3K9me3 在中性胆固醇酯水解酶 1(NCEH1)启动子区的富集,进而上调 NCEH1 表达并增加肿瘤内胆固醇水平的分子机制;AURKB 高表达与胆管癌患者新辅助化疗免疫治疗预后不良相关,且与肿瘤内胆固醇积累密切关联。临床前研究证实,AURKB 抑制剂或辛伐他汀可抑制胆管癌进展,并显著增强化疗免疫治疗敏感性,为胆管癌治疗提供了 “靶向 AURKB” 或 “降低肿瘤胆固醇” 的新型策略。

三、研究思路与结果解析
(一)AURKB 是胆管癌的特异性依赖靶点且高表达提示不良预后
研究思路
通过 CRISPR/Cas9 激酶文库筛选结合 DepMap 数据库分析,挖掘胆管癌细胞生长依赖的激酶靶点;利用 TCGA-CHOL、GSE107943 等公共数据集验证靶点表达特征及预后价值;从表观遗传层面探究 AURKB 高表达的调控机制。
实验结果
- 对 23 种胆管癌细胞系的 CRISPR 敲除筛选及 CERES 依赖分数分析,筛选出 AURKB、PLK1、CDK1 等 6 个潜在激酶靶点,其中仅 AURKB 高表达与胆管癌患者较差总生存期显著相关(图 1A-C)。
- 临床样本验证显示,AURKB 在胆管癌组织中高表达,癌旁正常组织中几乎不表达,且其表达水平与患者术后复发风险呈正相关(图 1G-J);HTVi 诱导的小鼠胆管癌模型(KRASG12D/sgp19、YAPS127A/myr-AKT 等)进一步证实 AURKB 仅在肿瘤组织中特异性表达(图 1K)。
- 表观遗传机制研究表明,AURKB 启动子区低甲基化是其高表达的关键原因:胆管癌组织中 AURKB 启动子甲基化水平显著低于癌旁组织,且与 AURKB 蛋白表达呈负相关;DNA 甲基转移酶抑制剂(地西他滨)处理或敲低 DNMT1、DNMT3A、DNMT3B 可显著上调 AURKB 的 mRNA 及蛋白表达(图 1L-N)。
(二)AURKB 在胆管癌进展中发挥不可或缺的作用
研究思路
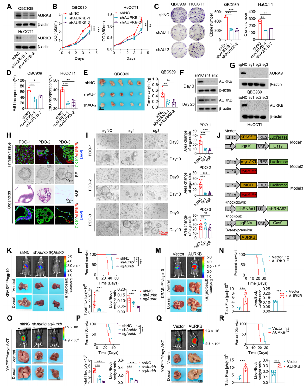
构建 AURKB 敲低、敲除及过表达的细胞模型(QBC939、HuCCT1 等),通过细胞增殖、集落形成、EdU 掺入等实验验证其对细胞生物学行为的影响;结合皮下移植瘤、HTVi 诱导原位癌模型及患者来源类器官(PDO),明确 AURKB 对胆管癌成瘤能力及进展的调控作用;通过激酶活性突变体(AURKBK106R)验证 AURKB 功能的激酶活性依赖性。
实验结果
- 细胞实验显示,AURKB 敲低或敲除可显著抑制胆管癌细胞增殖(CCK-8 实验,图 2B)、减少集落形成(图 2C)、降低 DNA 复制能力(EdU 实验,图 2D);而 AURKB 过表达则显著促进细胞生长(图 2G)。
- 动物实验证实,AURKB 敲低可抑制皮下移植瘤生长(图 2E),敲除则几乎完全阻断 HTVi 诱导的胆管癌形成(图 2J-L);相反,AURKB 过表达显著加速肿瘤进展,缩短小鼠生存期(图 2M-R)。需注意的是,AURKB 敲低细胞在培养过程中存在表达反弹现象,导致肿瘤部分复长,而 CRISPR/Cas9 介导的敲除可实现更稳定的抑癌效果(图 2F)。
- 患者来源类器官模型中,AURKB 靶向 sgRNA 病毒可显著抑制 AURKB 阳性类器官的生长及直径增大(图 2H-I),而对 AURKB 阴性类器官无明显影响;激酶活性突变体(AURKBK106R)无法逆转 AURKB 敲除导致的生长抑制,证实 AURKB 的促癌功能依赖其激酶活性。
(三)AURKB 通过增强肿瘤内胆固醇生成促进胆管癌进展
研究思路
通过 RNA-seq 分析 AURKB 敲低后胆管癌细胞的差异表达基因,筛选富集的代谢通路;利用靶向脂质组学验证 AURKB 对胆固醇代谢的调控作用;结合 Filipin III 染色、胆固醇定量检测等实验,明确 AURKB 对肿瘤内胆固醇水平的影响;通过胆固醇补充实验验证胆固醇在 AURKB 介导的胆管癌进展中的介导作用。
实验结果
- RNA-seq 分析显示,AURKB 敲低后 “胆固醇代谢通路” 在 QBC939、HuCCT1 细胞中均显著富集(图 3A);靶向脂质组学证实,AURKB 敲除可显著降低细胞内固醇类脂质(尤其是胆固醇)的总量及各亚型含量(图 3B-E)。
- Filipin III 染色(检测细胞内游离胆固醇)及 Amplex Red 胆固醇定量实验显示,AURKB 敲低或敲除可显著降低胆管癌细胞及类器官中的胆固醇水平(图 3F-G,补充图 S4C);AURKB 抑制剂 AZD1152 可剂量依赖性降低肿瘤胆固醇(图 3I);而 AURKB 过表达则显著升高胆固醇水平(图 3H),且该效应依赖其激酶活性。
- 临床样本及动物模型验证显示,胆管癌组织中胆固醇水平显著高于癌旁组织(图 3K),且与 AURKB 表达呈正相关(图 3L);胆固醇补充可缓解 AURKB 敲除对类器官生长的抑制作用(图 3M),证实 AURKB 通过促进肿瘤内游离胆固醇生成推动胆管癌进展。
(四)AURKB 通过增加肿瘤内游离胆固醇损伤胆管癌抗肿瘤免疫微环境
研究思路
利用单细胞 RNA 测序(scRNA-seq)分析 AURKB 敲低对胆管癌肿瘤免疫微环境中免疫细胞亚型及功能的影响;通过流式细胞术验证 AURKB 对 CD8+ T 细胞浸润、细胞毒性及耗竭表型的调控作用;结合细胞共培养实验,探究胆固醇在 AURKB 调控 T 细胞功能中的介导作用;通过高胆固醇饮食(HCD)小鼠模型,在体内验证胆固醇依赖机制。
实验结果
- scRNA-seq 分析(KRASG12D/sgp19 模型)显示,AURKB 敲低(shAurkb)组肿瘤浸润 CD8+ T 细胞比例显著升高,巨噬细胞及单核细胞比例降低(图 4A-B);CD8+ T 细胞功能分析显示,shAurkb 组富集 “抗原呈递”“细胞毒性” 等免疫激活通路,而对照组富集 “ATP 合成”“糖代谢” 等代谢通路(图 4C)。
- CD8+ T 细胞亚型分析及 pseudotime 轨迹显示,AURKB 敲低可促进 naive T 细胞(TN)向效应 T 细胞(TE)分化,减少向耗竭 T 细胞(TEX)转化(图 4D);效应谱系中 shAurkb 组的细胞毒性评分显著更高,而对照组的耗竭评分更高(图 4E)。
- 流式细胞术验证显示,shAurkb 组肿瘤中 Granzyme B+CD8+、IFNγ+CD8+ T 细胞比例显著升高,PD-1+CD8+ T 细胞比例降低(图 4F);效应 T 细胞(CD44+CD62L-CD8+)比例也显著增加;相反,AURKB 过表达则产生完全相反的免疫抑制效应。
- 机制验证实验显示,胆固醇补充可逆转 AURKB 敲除对 T 细胞功能的增强作用,而胆固醇耗竭剂(M-β-CD)则模拟 AURKB 敲除的免疫调节效果(图 4G);T 细胞杀伤实验证实,与 AURKB 敲除细胞共培养的 CD8+ T 细胞对野生型胆管癌细胞的杀伤能力显著增强,而胆固醇补充可阻断该效应(图 4H)。高胆固醇饮食(HCD)小鼠模型进一步证实,HCD 可逆转 AURKB 敲低的抑癌效果及对 CD8+ T 细胞功能的改善作用(图 4L-O)。
(五)AURKB 通过 NCEH1 调控肿瘤内胆固醇水平
研究思路
结合 ATAC-seq(染色质可及性测序)与 RNA-seq,筛选 AURKB 调控胆固醇代谢的下游靶基因;通过 ChIP-qPCR、CUT&Tag 测序验证 AURKB 通过组蛋白修饰(H3S10ph、H3K9me3、H3K9me3S10ph)调控 NCEH1 表达的分子机制;利用 NCEH1 过表达或敲低实验,验证其在 AURKB 介导的胆固醇调控及胆管癌进展中的作用。
实验结果
- 联合分析显示,NCEH1(中性胆固醇酯水解酶 1)是 AURKB 调控胆固醇代谢的关键下游靶基因:ATAC-seq 显示 AURKB 敲除可降低 NCEH1 启动子区的染色质可及性(图 5C),RNA-seq 及 qPCR 证实 AURKB 敲低或敲除显著降低 NCEH1 的 mRNA 及蛋白表达(图 5D-E),且该效应依赖 AURKB 激酶活性。
- 组蛋白修饰机制研究显示,AURKB 可通过催化 H3S10 磷酸化,减少 H3K9me3 在 NCEH1 启动子区的富集(ChIP-qPCR,图 5L);同时,AURKB 促进 H3K9me3S10ph(H3K9me3 与 H3S10ph 的组合修饰)的形成,该修饰无法与 HP1 复合物结合,从而解除 H3K9me3 对 NCEH1 的转录抑制(图 5N)。
- 功能验证显示,NCEH1 过表达可挽救 AURKB 敲除导致的胆固醇水平降低(图 5H)及肿瘤生长抑制;而 NCEH1 敲低则显著逆转 AURKB 过表达诱导的胆固醇积累及免疫抑制(补充图 S12E-I)。临床样本中,NCEH1 在胆管癌组织中高表达,且与 AURKB、H3K9me3S10ph 表达呈正相关(图 5I、P)。
(六)靶向 AURKB 或降低肿瘤胆固醇可增强胆管癌化疗免疫治疗敏感性
研究思路
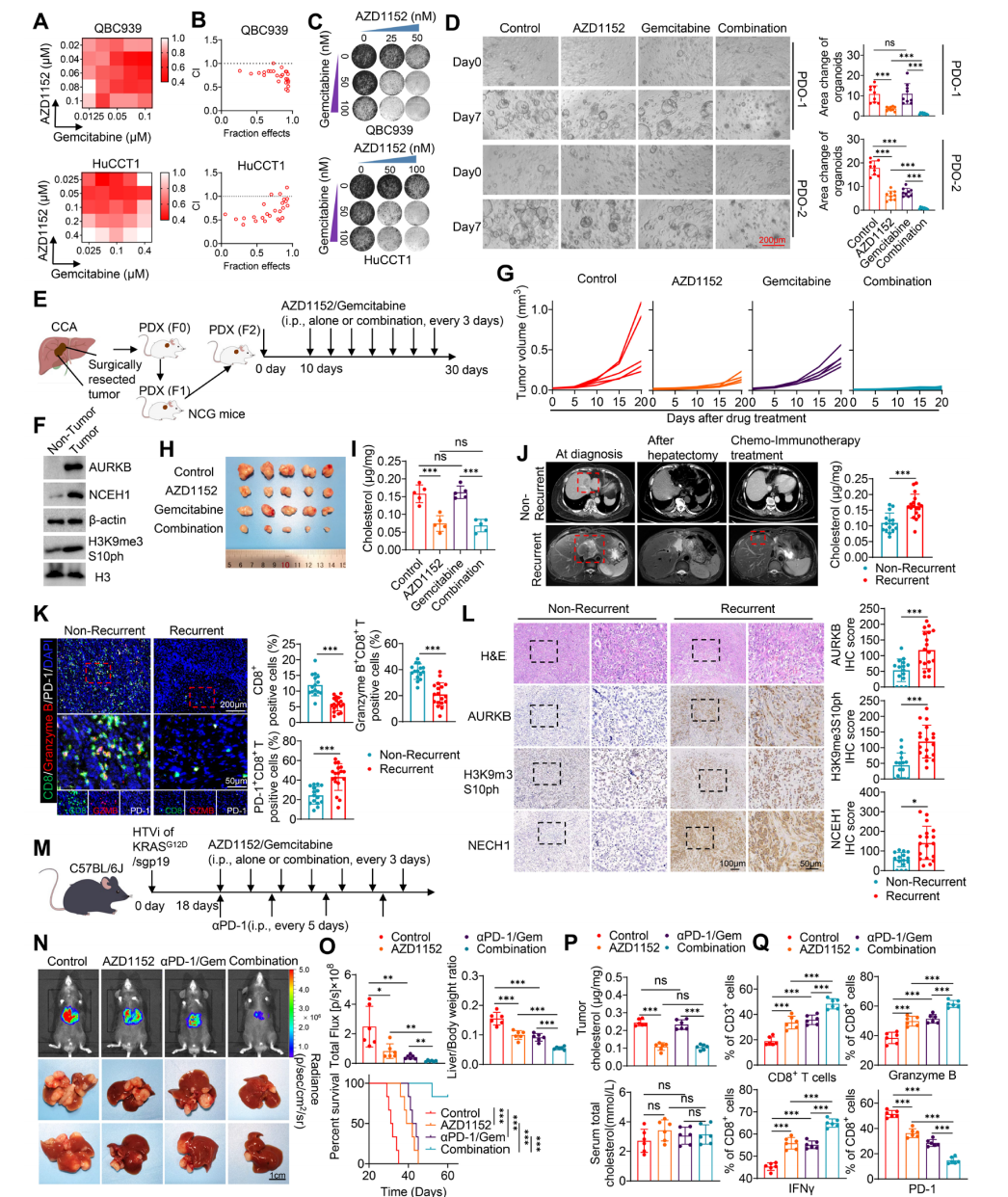
评估 AURKB 抑制剂 AZD1152 与化疗药物(吉西他滨、顺铂)的协同抗肿瘤效应,通过 CI(Combination Index)分析验证药物协同作用;在皮下移植瘤、PDX(患者来源异种移植)模型中验证 AZD1152 与化疗、免疫治疗(抗 PD-1 抗体)的联合治疗效果;探究他汀类药物(辛伐他汀)在胆管癌治疗中的应用价值,验证其对肿瘤胆固醇及化疗免疫治疗敏感性的影响。
实验结果
- 体外实验证实,AZD1152 与吉西他滨、顺铂联合使用对胆管癌细胞具有协同细胞毒性,显著降低化疗药物的 IC50 值(图 7A-B);低剂量组合即可显著诱导细胞凋亡,且 AURKB 敲低可增强胆管癌细胞对吉西他滨的敏感性。
- 患者来源类器官及 PDX 模型显示,AZD1152 可显著抑制 AURKB 阳性类器官的生长(图 7D),在 PDX 模型中,AZD1152 与吉西他滨联合治疗的抑瘤效果显著优于单药治疗(图 7G-H),且仅 AZD1152 可降低肿瘤内胆固醇水平(图 7I)。
- 免疫联合治疗实验显示,AZD1152 与抗 PD-1 抗体联合可显著抑制免疫 competent 小鼠的胆管癌进展,增加肿瘤内 CD8+ T 细胞浸润及细胞毒性,减少耗竭表型(图 7Q);辛伐他汀(胆固醇降低药物)可模拟 AZD1152 的作用,显著抑制肿瘤进展并增强化疗免疫治疗效果(图 8A-F)。
- 临床样本分析显示,化疗免疫治疗后无复发的胆管癌患者肿瘤内 AURKB、NCEH1、H3K9me3S10ph 表达及胆固醇水平显著更低,CD8+ T 细胞功能更强(图 7J-L),进一步验证了 AURKB - 胆固醇 - 免疫抑制轴的临床意义。
⭐⭐四、LabEx 单细胞测序技术的关联与应用⭐⭐
LabEx 提供的单细胞 RNA 测序(scRNA-seq)技术在本研究中发挥关键作用,主要应用于 “解析 AURKB 对胆管癌肿瘤免疫微环境的调控机制” 部分,具体如下:
(一)技术应用场景
研究团队利用 LabEx 单细胞测序技术,对 KRASG12D/sgp19 诱导的胆管癌模型中 “shNC 组” 与 “shAurkb 组” 的肿瘤浸润 CD45 + 免疫细胞进行单细胞转录组分析,明确 AURKB 敲低对免疫细胞亚型组成、功能状态及分化轨迹的影响。
(二)关键结果产出
- 免疫细胞亚型分类与比例变化:通过 scRNA-seq 共鉴定出 12 种免疫细胞亚型(包括 T 细胞、巨噬细胞、单核细胞、粒细胞等),发现 shAurkb 组 CD8+ T 细胞比例显著升高,巨噬细胞及单核细胞比例降低(图 4A,补充图 S5A-B);对 T 细胞进一步分群,鉴定出 11 个 T 细胞亚型,其中 CD8+ T 细胞为主要群体,且 shAurkb 组效应 CD8+ T 细胞(TE)比例升高,耗竭 CD8+ T 细胞(TEX)比例降低(图 4B,补充图 S5C-D)。
- CD8+ T 细胞功能与分化轨迹分析:通过基因集富集分析(GSEA)发现,shAurkb 组 CD8+ T 细胞富集 “免疫激活”“细胞毒性” 相关通路(如抗原呈递、IFNγ 信号),而对照组富集 “代谢相关通路”(图 4C,补充图 S5I);利用 Slingshot 工具进行 pseudotime 轨迹分析,显示 shAurkb 组可促进 naive CD8+ T 细胞向效应谱系(TN-TEM-TE)分化,减少向耗竭谱系(TN-TEM-TEX)转化(图 4D);通过 AddModuleScore 函数计算细胞毒性评分(Gzmb、Ifng 等基因)及耗竭评分(Pdcd1、Ctla4 等基因),证实 shAurkb 组效应谱系的细胞毒性评分更高,对照组耗竭评分更高(图 4E,补充图 S5K)。
(三)对应实验图
单细胞测序技术的核心结果对应图 4A-E 及补充图 S5A-K,其中图 4A 为免疫细胞亚型分布及比例差异,图 4B 为 T 细胞亚型分类及比例变化,图 4C 为 GSEA 富集分析结果,图 4D 为 CD8+ T 细胞 pseudotime 轨迹,图 4E 为细胞毒性与耗竭评分的轨迹变化。




