6 年
手机商铺
公司新闻/正文
721 人阅读发布时间:2024-05-24 10:49
信号通路调控着一系列细胞过程,包括生长、分化、新陈代谢和细胞凋亡。通过了解这些通路如何发挥作用,研究者可以确定细胞如何保持平衡,以及这些通路的中断如何导致癌症、糖尿病和神经退行性疾病等疾病。此外,对信号通路的深入了解还有助于开发靶向疗法和个性化药物,使治疗更有效、更特异、副作用更小。
乐备实(LabEx)为主要专注于提供多组学/多因子相关检测分析的实验服务专家,目前已扩展到单细胞测序、空间多组学、流式检测、电化学发光、液相微阵列、蛋白芯片、抗体芯片、PCR Array、ELISA、Elispot、多色免疫组化等20+个技术平台。成立至今,已经为超过2500个客户提供服务,帮助客户发表文献。以下为部分高分文献合集:
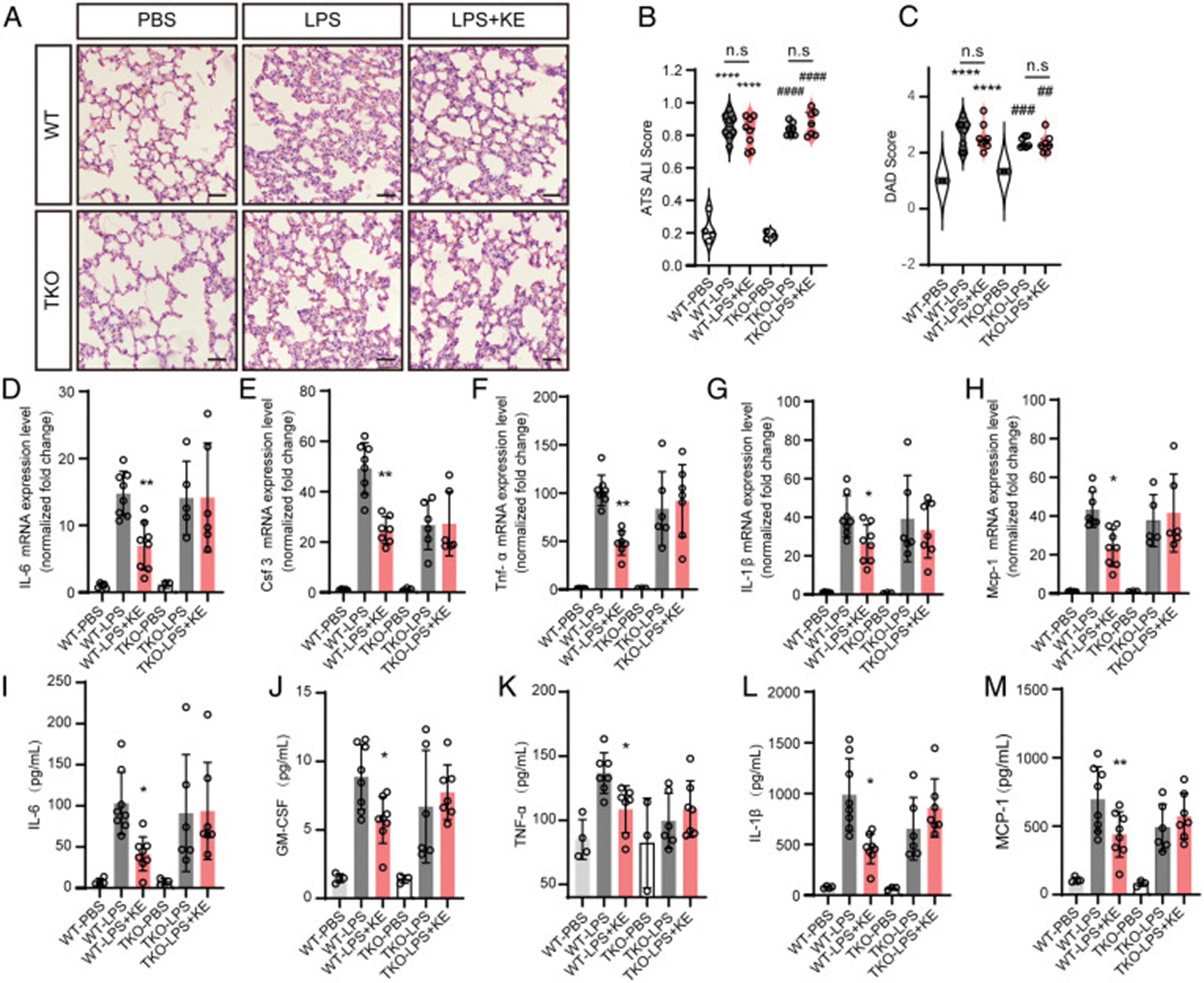
Tas2R通路
摘要:研究主要探讨了Tas2R激活通过Gαt蛋白释放对气道平滑肌(ASM)的放松机制,并揭示了其与乙酰胆碱受体(AChR)信号传导之间的相互作用。研究发现苦味物质能显著抑制由甲氨蝶呤(MCh)诱导的ASM细胞(ASMC)内钙浓度的增加,进而抑制钙诱导的肌肉收缩。Tas2R激活释放的Gαt与AChR结合,阻断了AChR信号转导的Gαq循环。此外,kudinoside A不仅减轻了COPD大鼠的气道收缩,还显著抑制了肺部炎症和组织重塑,表明其对其他Gαq相关病理过程的潜在调节作用。Tas2R激活几乎完全阻断了由MCh诱导的钙离子升高,且这种抑制作用依赖于Gnats蛋白的存在。在Gnats缺失的情况下,MCh引起的最大收缩力没有变化,表明Gnats缺失对松弛的抑制效应并非由基因敲除后的收缩改变所贡献。这些发现为开发新一代抗哮喘药物提供了新思路,并揭示了苦味物质如何通过Gnats与AChR的相互作用来调节气道平滑肌的松弛反应,为理解气道疾病提供了新的机制视角。
LabEx提供的Luminex检测服务:
为了进一步研究 Tas2R 激活对炎症的影响,我们建立了脂多糖(LPS)诱导的急性肺部炎症小鼠模型。吸入 LPS 治疗 48 小时后,肺部炎症明显诱发,表现为免疫细胞明显炎性浸润和细胞因子表达明显升高(下图)。当这些小鼠同时接受KE-A 治疗时,细胞的炎症浸润与对照组相当(下图 A-C),而IL-1β、CSF-3(集落刺激因子 3)、MCP-1(单核细胞趋化蛋白-1)、IL-6和TNF-α的表达则明显减弱(下图D-M)。然而,Gnats基因缺失会明显抑制这种抑制作用。这一结果令人信服地表明Tas2R激活在急性肺部炎症中的重要作用。
KE-A 对 Tas2R 的激动激活可减轻 LPS 诱导的急性肺部炎症
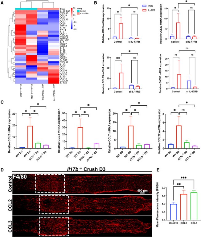
IL-17B/IL-17RB通路
Schwann cell promotes macrophage recruitment through IL-17B/IL-17RB pathway in injured peripheral nerves

关键词:免疫学,神经科学,IL-17,雪旺细胞,巨噬细胞,神经损伤,神经再生
摘要:该研究揭示了雪旺细胞在周围神经受伤后,通过IL-17B/IL-17RB信号通路促进巨噬细胞的招募,并有助于清除髓鞘碎片和增强轴突再生。IL-17B以自分泌方式作用,并与IL-17受体B结合,进而调节雪旺细胞产生趋化因子如CCL2等,这些趋化因子参与巨噬细胞的招募。这一过程对于神经修复至关重要,而且Mlkl缺陷会减少受伤坐骨神经中的巨噬细胞浸润。此外,研究发现IL-17B在视网膜中也促进巨噬细胞的激活,并且IL-17B/IL-17RB信号通路在多发性硬化症等脱髓鞘疾病中也可能发挥作用。总之,这项研究强调了IL-17B/IL-17RB信号通路在神经损伤修复过程中的重要性,并为治疗相关疾病提供了潜在的机制靶点。
LabEx提供的Luminex检测服务:
IL-17B/IL-17RB信号通路在招募巨噬细胞方面发挥作用。IL-17B处理后,WT雪旺细胞显著增加了多种已知的招募巨噬细胞的因子,包括CCL2、CCL3、CCL19、CCL22和粒细胞集落刺激因子(G-CSF),而这些变化在Il17rb敲除的雪旺细胞中未观察到。在受伤的坐骨神经中,我们进一步检查了这些因子在WT、Il17b−/−和Il17rb−/−小鼠中的表达情况。结果显示,在受伤的WT神经中增加的这些趋化因子在Il17b−/−和Il17rb−/−小鼠中显著减少。

IL-17B/IL-17RB增加巨噬细胞募集细胞因子的表达
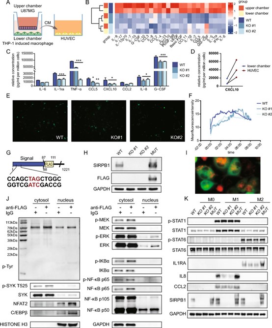
SIRPB1 and SYK通路
SIRPB1 regulates inflammatory factor expression in the glioma microenvironment via SYK: functional and bioinformatics insights

摘要:SIRPB1 在包括胶质瘤在内的多种肿瘤类型中表达上调,已知其有助于肿瘤的进展;然而,其在胶质瘤免疫环境中的功能仍主要不为人知。神经胶质瘤中 SIRPB1 的表达水平明显较高,这对免疫环境产生了不利影响,并且与患者的存活率关系不大。某些抗体激活 SIRPB1 会导致 SYK 磷酸化,进而激活钙、MAPK 和 NF-κB 信号通路。这种现象主要出现在髓源性细胞中,而不是胶质瘤细胞中。体外共培养表明,SIRPB1基因敲除的巨噬细胞显示出IL1RA、CCL2和IL-8的减少,而异位表达SIRPB1后,这些指标又会恢复,但在使用SYK抑制剂GS9973治疗后又会减少。重要的是,较低的总体存活率与 SIRPB1 表达的增加有关。
LabEx提供的Luminex检测服务:
48 小时后,收集两层的培养基,用 0.45 μm 过滤器过滤,并在 - 80 ℃ 下保存。Luminex 检测由 Labex提供,结果中,培养基显示上腔(U87MG)中VEGF、PDGF-BB、IL-8和G-CSF水平升高,下腔(巨噬细胞)中CCL2、IL1B和CCL5水平升高。SIRPB1KO的炎症因子低于 SIRPB1WT(图B)。具体而言,SIRPB1KO组的IL-8 和 IL1RA水平明显较低(图C)。

胶质瘤-巨噬细胞共培养中的 SIRPB1。B、C 通过 Luminex 检测炎性细胞因子
cGAS-STING 通路
Neuropeptide substance P attenuates colitis by suppressing inflammation and ferroptosis via the cGAS-STING signaling pathway

摘要:包括克罗恩病和溃疡性结肠炎(UC)在内的炎症性肠病(IBD)的发病机制仍未完全明了。当下针对这类疾病的药物不仅会造成长期的副作用,还只能短期减缓病人病状。肠神经系统被认为作为控制中心起到了重要作用,神经肽物质 P(SP)是一种 11 氨基酸的多肽参与多个与神经相关的通路。本研究旨在探讨 SP 在结肠炎中的作用及其内在机制。研究者揭示了SP通过抑制mtDNA-cGAS-STING或直接作用于STING通路来减轻炎症和铁变态反应,从而以NK1R依赖的方式改善结肠炎。这些发现提供了一种新的SP调节溃疡性结肠炎(UC)疾病的机制。
LabEx提供的Luminex检测服务:
通过Luminex检测小鼠结肠组织和血清样本中的23种细胞因子的浓度。使用 DSS 后,结肠组织中 IL-1β、TNF-α、IL-9、IFN-γ、IL-13、IL-6、G-CSF、RANTES、KC、IL-17A、GM-CSF、MIP-1β 和 IL-12P70 的含量升高,而 IL-4 和 IL-10 的含量则急剧下降。然而,SP 治疗可有效逆转这些变化(图D、E)。此外,在DSS处理的小鼠血清中,IL-2、IL-13、IL-6、MCP-1、IL-5、G-CSF、KC和GM-CSF水平升高,而IL-3、IL-4和IL-10水平降低。值得注意的是,SP 显著缓解了这些炎症细胞因子的变化(图F、G)。
(D, E) 用 Luminex 技术检测小鼠结肠组织中细胞因子蛋白的表达并进行水平分析。(F、G)采用 Luminex 技术检测各组小鼠血清细胞因子水平并进行数据分析。