6 年
手机商铺
公司新闻/正文
677 人阅读发布时间:2024-02-27 09:52
肿瘤研究一直是医学和生命科学领域的重要议题之一。随着科学技术的不断发展,对肿瘤的认识也日益深入。癌症是全球范围内的主要死亡原因之一,每年造成数百万人死亡。尽管在过去几十年里取得了一些重要的进展,但癌症的治疗和预防仍然面临巨大挑战。因此,对肿瘤发生、发展和治疗的研究一直备受关注。
肿瘤研究的目标之一是深入了解肿瘤形成的分子机制。这包括了肿瘤细胞的起源、肿瘤细胞与正常细胞之间的相互作用,以及肿瘤细胞对治疗方法的反应。同时,越来越多的研究聚焦于个体化治疗和靶向治疗,旨在提高治疗的效果并减少不良反应。
GeoMx® DSP空间多组学技术结合了组织影像分析和原位定量技术,可在展示全局组织形态结构的基础上,进一步实现对不同位置感兴趣区域(ROI)中的全转录组(~20000个基因)和蛋白组(~570种蛋白质)表达进行原位检测分析,便于深入剖析肿瘤发生发展中肿瘤微环境异质性。
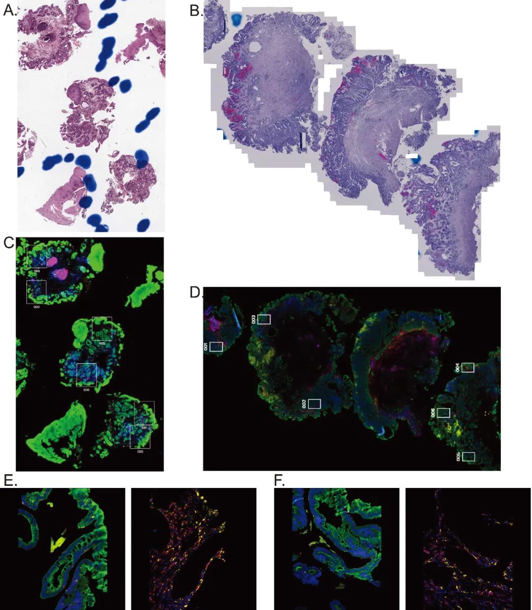
结肠癌
IF:24.5
PANEL:CTA(human)
摘要:从生物学角度深入了解结直肠癌(CRC)的逐步发展和进展,开发有针对性的早期检测和最佳临床治疗方法至关重要。我们旨在剖析伴随CRC恶性转化的转录和免疫学改变,并通过pT1 CRC样本的空间图谱分析确定与临床相关的生物标记物。我们对八例pT1 CRC采用了数字空间图谱分析(GeoMx),研究不同组织学区域(包括正常粘膜、低度和高度发育不良以及癌症)上皮和基质部分的基因表达。通过成像质谱仪对连续的组织学切片进行分析,以揭示免疫背景。最后,对公开的单细胞RNA序列数据进行分析,以确定相关转录本的细胞来源。比较了pT1 CRC样本中不同区域的基因表达,发现了上皮(1394个基因)和基质段(1145个基因)中不同组织学的差异表达基因。通路分析确定了恶性转化过程中炎症反应的早期发生,典型表现为先天性免疫感应等基因特征的上调。我们检测到髓系细胞浸润增加,巨噬细胞群从促炎性的HLA-DR+CD204-巨噬细胞转变为HLA-DR-CD204+免疫抑制亚群,从正常组织到发育不良再到癌症,伴随着CD47/SIRPα"别吃我信号"的上调。空间图谱分析揭示了癌症早期肿瘤发生的分子和免疫格局。我们发现了与疾病进展密切相关的生物标记物,以及可在临床环境中利用的靶向免疫过程。

为每个样本选择九个ROI,包括正常粘膜、正常粘膜与发育不良之间的过渡区域、低度和高度发育不良区域以及癌组织
肝癌
IIF:22.7
Panel:CosMx SMI; GeoMx DSP+ NGS|1,000-plex RNA; GeoMx - WTA(human)
摘要:肿瘤生态系统的肿瘤胎儿重编程会诱导肿瘤微环境中的胎儿发育特征,从而导致免疫抑制特征。我们利用单细胞RNA测序、空间转录组学和大容量RNA测序来划分参与肝细胞癌(HCC)复发和对免疫疗法反应的特定细胞亚群。我们发现POSTN⁺细胞外基质癌相关成纤维细胞(EM CAFs)是一个突出的细胞间相互作用枢纽,促进了肿瘤的进展。细胞-细胞通讯和空间转录组学分析显示,包括POSTN⁺ CAFs、FOLR2⁺巨噬细胞和PLVAP⁺内皮细胞在内的共胎细胞之间存在串扰和共定位。进一步的分析表明,胎盘重编程与上皮-间质转化(EMT)、肿瘤细胞增殖和Treg细胞招募之间存在关联,最终会影响早期复发和对免疫疗法的反应。总之,我们的研究确定了POSTN⁺ CAFs是HCC胎旁生态位的一部分,并强调了它在EMT、复发和免疫治疗反应中的潜在影响,为使用胎旁特征进行治疗分层铺平了道路。
抗肿瘤免疫
IF: 10.1
PANEL:GeoMx DSP+NGS; nCounter | WTA (mouse); nCounter - Mouse PanCancer Immune Profiling
摘要:IL-12是一种多向性炎症细胞因子,对各种免疫细胞群具有广泛的刺激作用,因此成为癌症免疫疗法的一个极具吸引力的靶点。mWTX-330是一种选择性诱导INDUKINE分子,由半衰期延长结构域和失活结构域组成,通过肿瘤蛋白酶敏感连接体与嵌合IL-12相连。小鼠对mWTX-330的全身给药耐受性良好,可在多种肿瘤模型中产生强大的抗肿瘤免疫力,并优先激活肿瘤浸润免疫细胞而非外周组织中的免疫细胞。抗肿瘤活性取决于蛋白酶可裂解连接体的体内处理,并且需要CD8+ T细胞才能充分发挥疗效。在肿瘤内部,mWTX-330增加了交叉呈递的树突状细胞(DC)的频率,激活了自然杀伤 (NK) 细胞,使传统的CD4+ T细胞偏向T辅助1(TH1)表型,促使调节性T细胞(Treg)变得脆弱,并增加了多功能CD8+ T细胞的频率。mWTX-330治疗还能通过扩大代表性不足的T细胞受体(TCR)克隆来增加肿瘤浸润T细胞的克隆性,促使CD8+ T细胞和NK细胞线粒体呼吸和功能增强,并降低肿瘤内TOX+衰竭CD8+ T细胞的频率。这种INDUKINE分子的全人类版本在人体血清中稳定,可被人体肿瘤样本可靠地选择性处理,目前正在临床开发中。
使用DSP系统分析第11天的FFPE EMT-6肿瘤,并对DAPI(蓝色)、PanCK(pink)和CD8(绿色)进行免疫荧光染色
食管腺癌
IF:5.2
PANEL:GeoMx DSP + NGS; GeoMx DSP + nCounter (for protein panel) | CTA (human); protein (human) - Immune cell types, immune activation, and immune modulation
摘要:对已知进展状态患者的巴雷特食管(Barrett's esophagus,BE)微环境进行表征,以确定其如何影响BE向食管腺癌(EAC)的进展,但这方面的研究一直不足。本研究的目的是确定能否利用NanoString GeoMx DSP平台对内镜下福尔马林固定、石蜡包埋(FFPE)样本的微环境进行高度多重检测,以及能否开始确定可能介导BE进展的免疫细胞类型和通路。我们对FFPE内镜活检组织的微环境和上皮细胞中表达49种蛋白质进行了空间蛋白质组学分析,这些活检组织来自后来发展为高级别发育不良或EAC的非增生性BE(NDBE)患者(7人)或随访至少5年后仍未发展为高级别发育不良或EAC的患者(8人)。然后,我们对包含BE、发育不良和EAC区域的三块内镜粘膜切片上的1812个癌症相关转录本进行了RNA分析。使用GeoMx DSP进行的分析显示了合理的质量指标,并检测到了上皮和基质之间的预期差异。与非进展期相比,有几种蛋白质在进展期NDBE活检组织中的表达量有所增加,这表明还需要进一步研究。

BE活检组织和EMR的代表性图像。用于选择ROI的形态标记的免疫荧光成像(A,活检)和(D,EMR)
乳腺癌
IF:6.2
PANEL:GeoMx DSP + NGS | WTA (human)
摘要:三阴性乳腺癌(TNBC)与血管生成增加有关,已知血管生成有助于肿瘤生长和转移。针对这一特点开发的抗血管生成疗法的临床结果大多令人失望。由于缺乏对肿瘤相关血管原位分子特征的了解,靶向方法的进一步研究受到了限制。在本研究中,我们旨在了解TNBC组织中肿瘤内皮细胞与正常邻近内皮细胞的分子谱差异。我们应用无偏全转录组空间图谱分析了全面TNBC患者组织(n = 4)和同一患者乳腺组织正常邻近区域内皮细胞的原位基因表达。我们的比较分析发现,肿瘤内皮细胞与正常邻近内皮细胞之间有2412个基因存在差异表达(padj< 0.05)。通路富集显示,与细胞-细胞、细胞-ECM粘附、染色质组织和重塑以及蛋白质-DNA复合物亚基组织相关的基因组得到了富集。总之,研究结果揭示了肿瘤相关血管的独特分子特征和信号通路,这是对TNBC预后和抗血管生成治疗潜在靶点进行更大规模队列研究的关键一步。
数字空间轮廓ROI选择和特定细胞类型分割。图中展示了患者1的DSP扫描代表性图像。研究中使用的四种形态标记为PanCK、DNA、SMA 和 CD31。为每位患者的肿瘤和正常邻近组织选择了660×785μm的六个感兴趣区。感兴趣区(AOI)策略包括基于CD31荧光染色的细胞类型特异性分割,以丰富正常邻近组织和肿瘤区域的血管。