6 年
手机商铺
公司新闻/正文
421 人阅读发布时间:2022-03-23 14:37
炎症反应(inflammation)是细胞对微生物感染、外界刺激以及自身组织损伤做出的复杂生物学反应,包括疼痛,发热,发红,发肿以及组织功能受损等一系列症状。
如果你要深入研究验证,那一定绕不开炎症小体。
关于炎症小体,我们在之前的文章中有详细介绍过,还列举了一些疾病中它们是如何发挥作用的,感兴趣的小伙伴们可以回顾一下#浅谈炎症小体-Inflammation#
大部分炎症小体的基础结构都是以NLR或ALR蛋白家族作为受体蛋白(receptor)、ASC作为接头蛋白(adaptor)、caspase作为效应蛋白(effector)。

炎症小体结构示意图
目前研究较多的是NLRP3炎症小体。
NLRP3炎症小体由ASC、Caspase-1和NLRP3组成。NLRP3炎症小体蛋白质结构可表示为:LRR-NACHT-PYD : PYD-CARD : CARD-Caspase。
在研究检测NLRP3时,我们需要提前做好哪些功课,避开雷区,比较快的得到正确客观的结果呢?小优整理了以下三点:
01 NLRP3激活途径

NLRP3的典型途径 — 炎症小体激活
炎症小体激活经典途径描述了巨噬细胞中 NLRP3 的激活,其中需要两种刺激。

在静息状态下,NLRP3 和 IL-1β 在细胞中表达量处于极低水平,不能用于组装或活化 NLRP3 炎症小体。
免疫细胞需要接受引发刺激,如脂多糖(LPS)与胞膜上的Toll样受体4(Toll-like receptors 4,TLR4)结合以激活NF-κB,活化的NF-κB进一步上调NLRP3、pro-IL-1β的mRNA转录水平。
高水平的NLRP3、pro-IL-1β mRNA是形成有效炎症小体的关键,所以我们在碰到WB无条带的时候,也可以通过mRNA来确定NLRP3、pro-IL-1β的表达量。

接受启动信号后,NLRP3炎症小体会因病原相关分子模式(pathogen-associated molecular patterns,PAMPs)或损伤相关分子模式(damage-associated molecular patterns,DAMPs)等多种因素而被激活。
NLRP3结构蛋白的寡聚化作用使其与接头蛋白ASC的PYD相结合,然后ASC的CARD与pro-Caspase-1上的CARD结合,形成完整且有活性的NLRP3炎性小体,促使pro-Caspase-1自我裂解,产生活性的效应蛋白Caspase-1。
Caspase-1具有剪切GSDMD的功能,使GSDMD的N末端结构域释放。N-GSDMD通过与细胞膜上内页的磷脂酰丝氨酸和磷酸肌醇结合,在细胞膜上打孔,细胞内外失衡而破裂,引起细胞死亡,细胞内容物释放到细胞外,引起炎症反应。
Caspase除了剪切GSDMD,还可以诱导IL-1β和IL-18从未成熟状态转化为活性状态,细胞死亡后IL-1β和IL-18会释放到细胞外从而诱发神经炎症。
ASC、caspase-1的剪切,IL-1β和IL-18的剪切,以及GSDMD的剪切,这些结果都可以帮助我们判断NLRP3炎症小体的激活情况。

doi: 10.1038/s41419-021-03751-3.
以这篇文献为例,作者通过对肾小管上皮细胞HK-2进行H/R 模型研究,得出结论:氧化应激上调的 FIP1 通过诱导 3'UTR 缩短来放大炎症、纤维化、ROS 产生和细胞凋亡。

FIP1 促进肾小管上皮细胞的炎症(文献 Fig 5)
02NLRP3激活途径
前面我们提到NLRP3在静息细胞中表达量很低,那是不是未刺激的细胞就无法检测到WB条带呢?答案是否定的。
从HPA(The Human protein Atlas)可知NLRP3在血液和免疫细胞中的基因表达水平尚可,富集于巨噬细胞、库普弗细胞、霍夫鲍尔细胞,但NLRP3多以泛素化无活性、稳定状态存在,实际蛋白水平并不高。

NLRP3在人源细胞系中的基因表达水平(HPA)
从BioGPS可知NLRP3在鼠源细胞系中主要在血液和免疫细胞上表达,并可通过适当的刺激处理(如LPS)提高其表达量。

NLRP3在鼠源细胞系中的基因表达水平(BioGPS)
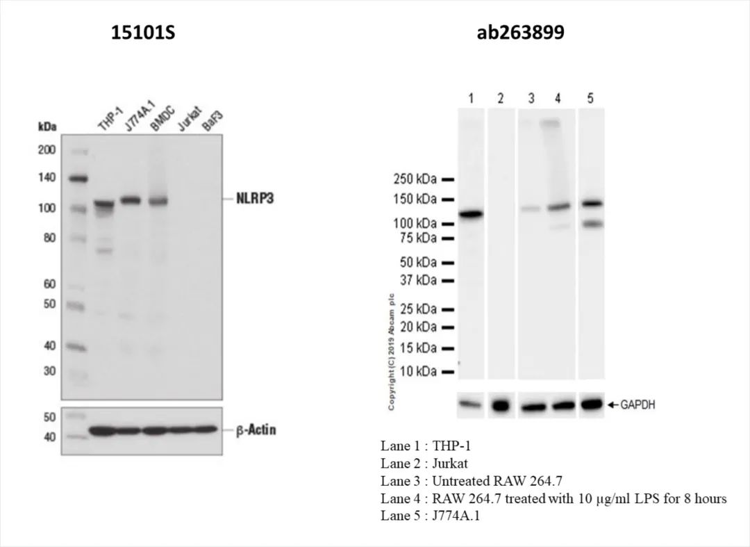
NLRP3在树突细胞、单核细胞和巨噬细胞中的表达较高水平,样本选择时首先需要了解它的表达情况。若蛋白本身不表达或表达量极低,刺激处理也未必能有效提高表达水平,如何才能有效激活也需要多参考文献中的条件设置。

不同样本及不同处理NLRP3的蛋白表达情况
03 WB常见问题的优化方案
在做Western实验时,有的老师可能会遇到无条带、非特异带、高背景或者条带位置不对的情况,针对这些情况出现的可能原因,小优进行了一一分析,并给出了相应的解决方案。
QUESTION
常见问题原因分析
无条带:
样品未经合适处理;提取不充分;抗体不工作

NO.2 非特异带:
样品降解;漂洗不充分;抗体非特异

NO.3 高背景:
样品降解;试剂或操作污染;漂洗不充分;PVDF膜;抗体非特异

NO.4 条带位置不对:
样品降解,胶浓度,抗体非特异

如何才能得到一个漂亮的结果呢?小优为您提供了一些优化建议:
01 无条带
设置阳性对照(如小鼠骨髓源性的DC、骨髓源性的巨噬细胞等);样品新鲜制备;裂解时建议超声处理;增加上样量(细胞20μg,组织50-100μg);更换抗体。
02 非特异性条带
新鲜制备样品;加强漂洗,增加漂洗液中的NaCl 浓度(150mM-500mM)和Tween浓度(0.1-0.5%);更换抗体。
03 高背景
新鲜制备样品;实验中试剂包括电泳液、转膜液、漂洗液、脱脂奶粉、抗体稀释液等用新鲜配制的,使用干净的海绵、新的滤纸,操作时用镊子夹边缘不要用手触摸,孵育时放平、均匀孵育,保持膜的湿润;加强漂洗,增加漂洗液中的NaCl和Tween浓度;换用NC膜;更换抗体。
04 条带位置不对
新鲜制备样品;使用梯度胶,排查问题时孵全膜;更换抗体。
小优Tips
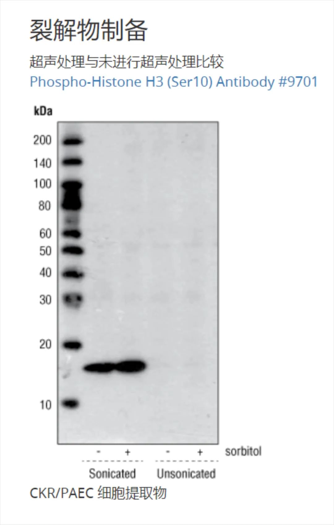
裂解后对细胞或组织进行超声,目的在于确保膜的充分剪切,并通过断裂染色质,提高蛋白的可溶性,帮助彻底裂解样本,减少拖带。
超声步骤为冰上3 X 5 second bursts at 50% output。如没有超声仪,可用1ml注射器针头,冰上反复抽打裂解液10次左右,达到类似于超声的效果。
裂解物超声效果

参考文献:
o Targeting the NLRP3 inflammasome in inflammatory diseases
o The NLRP3–inflammasome as a sensor of organelle dysfunction
o The NLRP3 inflammasome: molecular activation and regulation to therapeutics
o Inflammasomes and Their Roles in Health and Disease
o Alternative polyadenylation trans-factor FIP1 exacerbates UUO/IRI-induced kidney injury and contributes to AKI-CKD transition via ROS-NLRP3 axis
o https://www.proteinatlas.org/ENSG00000162711-NLRP3/celltype
o http://biogps.org/#goto=genereport&id=216799
无处不在的炎症!隐形眼镜的长期佩戴影响的绝不只是圆锥角膜患者!一组来自滑铁卢大学的研究结果能告诉我们多少?
难治性抑郁症(TRD)可能与炎症反应相关?来看看英国国王学院的这项研究!
